OpenAI's o1 model achieves 81.6% diagnostic accuracy in emergency situations, surpassing human doctors and signaling a major shift in medical practice.
Jingyuan Yang's AI framework enhances job opportunity fairness by redistributing elite paths, outperforming eight ML methods and boosting upward mobility.
South Africa's Communications Minister Solly Malatsi faces scrutiny as two officials are investigated for including AI-generated fictitious references in the withdrawn National AI Policy.
NextDC faces mounting opposition from West Footscray residents over its M3 datacentre expansion, projected to double in size and consume 225MW, raising environmental concerns.
Pennsylvania launches the Keystone AI + Quantum Factory, uniting seven universities to drive economic growth and job creation through AI and quantum tech innovations.
Young entrepreneur Jia Xiaoyou’s Linkerbot aims to revolutionize robotics with dexterous hands priced below 50,000 yuan, dominating 80% of global production.
Seven leading Pennsylvania universities launch the Keystone AI + Quantum Factory to enhance supercomputing capabilities and drive innovation in AI and quantum research.
Pharos Network partners with HKU for a $10M AI-driven prediction market research project, leveraging on-chain data to enhance decision-making in finance.
Assistant Professor Robert Wagner secures a $569,573 NSF CAREER Award to advance polymer design using machine learning, enhancing material toughness up to threefold.
Microsoft's study reveals 41% of health inquiries to AI chatbots like Copilot seek vital information and education, reshaping digital health interactions.
Chinese researchers unveil ASI-Evolve, an AI model that self-improves with a 0.97-point performance boost, revolutionizing scientific discovery and industry applications.
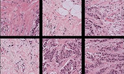
Researchers achieve 95% accuracy in identifying cancer origins using machine learning and DNA methylation, revolutionizing diagnostics for cancers of unknown primary.
Computational neuroscientist Vivienne Ming warns that reliance on large language models may impair cognitive abilities in students, risking long-term cognitive health.
Neel Somani argues that AI labs offer superior long-term career prospects over traditional quant finance roles, where starting salaries exceed $100,000 but stagnation is...
South Korea ranks third globally in AI models, as Stanford's AI Index 2026 highlights the urgent need for regulatory frameworks in a rapidly evolving...
Researchers from Iowa State University warn that using human-like language for AI systems can mislead public perception and inflate expectations of their capabilities.
New study reveals that heavy reliance on AI can erode users' critical thinking skills, with those passively relying on technology experiencing significant cognitive decline.
Meituan unveils Xiaomei AI agent, redefining consumer interaction with seamless task delegation and setting a new standard for intelligent personal assistants.
AI chatbots from Google, Meta, and OpenAI match or exceed human creativity but produce outputs with alarming uniformity, raising concerns about idea diversity.
Guangdong tech firms Lingyi Intelligence and Xiechuang Data report 2025 earnings surging 16.2% to ¥51.4B and 65.1% to ¥12.2B respectively, driven by AI advancements.
UNC's FDA-cleared AI-enabled ultrasound technology revolutionizes maternal healthcare by enabling accurate fetal age estimation without expert interpretation, enhancing access in underserved areas.